Lompat ke konten Lompat ke sidebar Lompat ke footer

40+ Open Mri Brain Scan UK

40+ Open Mri Brain Scan UK. Additionally, this sort of protocol forms the foundation of many other more specific protocols by merely adding a sequence or two. This video will explain how a brain mri scan is performed along with examples of the positioning, protocols and planning for a brain magnetic resonance.

Staining Sheet Surface In A Special Factory Floor Stock ...
Staining Sheet Surface In A Special Factory Floor Stock ... from il2.picdn.net
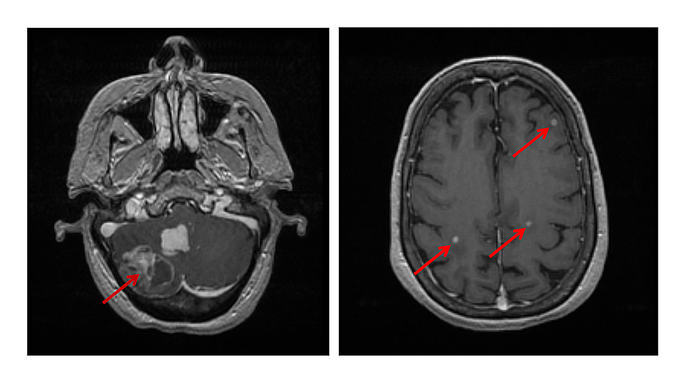
In a recent study, brains we provide services at times that work for you, staying open late and on weekends. A brain lesion appears as a dark or light spot that does not look like normal brain tissues. We are pleased to be able to offer this service to make mri accessible.

Compared with ct scans, mri scans typically take longer and are louder, and they usually need the subject to enter a narrow, confining tube.

Magnetic resonance imaging (mri) of the brain is a safe and painless test that uses a magnetic an mri differs from a cat scan (also called a ct scan or a computed axial tomography scan) some centers have open mri machines that have larger openings and are helpful for patients with. Magnetic resonance imaging (mri) uses a large magnet and radio waves to look at organs and structures inside the body. Reconstructing brain mri images using deep learning (convolutional autoencoder). Mri (magnetic resonance imaging) is a noninvasive diagnostic test that takes detailed images of the soft tissues of the body.

Posting Komentar untuk "40+ Open Mri Brain Scan UK"